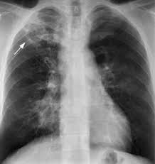
결핵
- 존 키츠 - 사망 원인
- 김유정 (소설가) - 사망 원인
- 이종욱 (의료인) - 주요 퇴치 질병
- 로베르트 코흐 - 원인균 발견
- 남인수 - 사망 원인
- 채만식 - 사망 원인
- 레프 비고츠키 - 사망 원인
- 김정호 (가수) - 사망 원인
- 에밀리 브론테 - 사망 원인
- 비비언 리 - 사망 원인
- 프란츠 카프카 - 사망 원인
- 프리드리히 미셔 - 사망 원인
- 아츠미 키요시 - 투병 질병
- 유진 오닐 - 극작 계기
- 이상 (작가) - 사망 원인
- 히구치 이치요 - 사망 원인
- 제인 오스틴 - 사망 원인
- 안톤 체호프 - 사망 원인
- 파스퇴르 연구소 - 주요 연구질병
- 조지 오웰 - 사망 원인
- 성종 (조선) - 사망 원인
- 제인 에어 - 친구 사망 원인
- 미국 질병통제예방센터 - 관장 업무
- 존 컨스터블 - 아내 사망 원인
- 무함마드 알리 진나 - 사망 원인
- 앤 설리번 - 가족 사망 원인
- 나운규 - 사망 원인
- 에르빈 슈뢰딩거 - 사망 원인
- 선우용여 - 홍보 활동
- 니콜로 파가니니 - 사망 원인
연표
BC 10k
[세계 최초의 결핵 흔적 발견: 1만 7천 년 전 들소 뼈에서]
북아메리카 들소의 뼈에서 결핵균(Mycobacterium tuberculosis)의 가장 오래된 흔적이 발견되었습니다.
이는 결핵의 역사가 인류의 역사보다 훨씬 더 오래되었음을 보여주는 놀라운 증거입니다.
이 발견은 결핵이 인류 외 다른 포유류에게도 영향을 미쳤음을 시사하며, 결핵균의 오랜 진화 역사를 엿볼 수 있게 합니다. 결핵이 소에서 유래하여 인간에게 옮겨왔는지, 혹은 공통 조상으로부터 파생된 것인지는 여전히 명확하지 않습니다.
BC 6k
[인류의 결핵 첫 증거: 신석기 시대 인골에서 확인]
동지중해 신석기 정착지에서 발굴된 인골에서 사람이 결핵에 걸린 가장 오래된 증거가 발견되었습니다.
이는 인류가 농업을 시작하고 정착 생활을 하면서 결핵이 확산되기 시작했음을 시사합니다.
이는 인류가 집단 거주하기 시작하면서 질병의 전파 양상이 어떻게 변화했는지 보여주는 중요한 단서가 됩니다. 결핵성 부식은 미라의 등뼈에서도 발견되어, 고대 문명에서도 결핵이 존재했음을 알 수 있습니다.
BC 8C
[남아메리카에서도 확인된 결핵의 오랜 역사]
남아메리카 파라카스 문화(약 B.C.750 ~ A.D.100)와 관련된 유물에서 결핵의 가장 이른 증거가 발견되었습니다.
이는 결핵이 유라시아 대륙을 넘어 신대륙까지 퍼져 있었음을 보여줍니다.
북아메리카의 선사시대 유골에서도 이 병이 흔하여 당시 사회 구성원 대부분이 결핵에 노출되었음을 보여줍니다. 결핵은 전 세계적으로 인류와 함께 해 온 질병임을 알 수 있습니다.
BC 5C
[히포크라테스, 결핵의 치명적 증상 기록]
고대 그리스의 의학자 히포크라테스가 당시 'Phthisis'(소모성 질환)라 불리던 결핵을 피를 토하고 열이 나며 치명적인 질병으로 기록했습니다.
그는 이 병이 가장 널리 퍼져 있다고 언급했습니다.
그의 기록은 고대에도 결핵이 얼마나 심각한 질병이었는지 보여주며, 당시 의학자들이 결핵의 특징적인 증상을 인지하고 있었음을 나타냅니다. 고대 의학 지식의 중요한 부분입니다.
1020
[이븐 시나, 결핵을 세계 최초로 감염병으로 규정]
페르시아의 위대한 의학자 이븐 시나가 자신의 저서 '의학전범'에서 폐결핵을 '감염병'으로 인지하고, 당뇨병과의 관련성을 최초로 주목했습니다.
그는 결핵 전파를 막기 위한 격리 방법을 제안하기도 했습니다.
이븐 시나의 통찰은 중세 시대에 이미 결핵의 전염성과 치료의 중요성을 이해했음을 보여주며, 현대 의학의 기초를 다지는 데 기여했습니다. 그의 저서는 수세기 동안 유럽 의학의 중요한 교과서로 활용되었습니다.
1689
[결핵, 폐의 '혹'과 관련됨이 규명]
영국의 의사 리처드 모턴이 폐결핵이 '혹'(tubercles)과 관련이 있음을 규명했습니다.
이는 결핵이 폐에 작은 결절을 형성한다는 중요한 사실을 밝혀낸 것입니다.
모턴의 발견은 결핵의 병리학적 특징에 대한 이해를 높이는 데 기여했지만, 당시에는 결핵의 다양한 증세 때문에 하나의 질병으로 명확히 인식되지 못했습니다.
1839
[결핵, 'tuberculosis'라는 이름 얻다]
독일의 의사 J.
L.
Schönlein이 이 병을 'tuberculosis'로 명명했습니다.
이는 결핵의 증상이 다양함에도 불구하고 하나의 질병으로 공식적인 이름이 부여된 중요한 순간이었습니다.
이 명칭은 이후 전 세계적으로 사용되며 결핵에 대한 의학적 연구와 이해를 통합하는 데 기여했습니다. 결핵은 1820년대까지도 다양한 증상 때문에 단일 질병으로 인식되지 못했습니다.
1854
[세계 최초의 결핵 요양원 개원]
독일의 헤르만 브레머가 Görbersdorf(현 폴란드 Sokołowsko)에 세계 최초의 결핵 요양원을 설립했습니다.
이는 결핵 환자들에게 안정과 맑은 공기를 제공하여 치료를 돕기 위한 시설의 시작을 알렸습니다.
이 요양원은 당시로서는 혁신적인 치료 접근 방식이었으며, 결핵 환자들에게 희망을 주었습니다. 하지만 최상의 조건에서도 요양원에 입원한 환자의 절반은 5년 내 사망하는 등 치료 효과는 제한적이었습니다.
1882
[로베르트 코흐, 세계 최초로 결핵균 발견!]
독일의 미생물학자 로베르트 코흐가 '결핵균(Mycobacterium tuberculosis)'을 발견하는 데 성공했습니다.
이 업적으로 그는 1905년 노벨 생리학·의학상을 수상하며 인류 역사상 가장 치명적인 질병 중 하나의 원인을 밝혀냈습니다.
코흐의 발견 이전에는 결핵의 원인이 불분명하여 '낭만적 질병'으로 오해받기도 했습니다. 그의 발견은 결핵 퇴치를 위한 의학 연구와 공중 보건 대책의 토대를 마련하며, 결핵을 더 이상 낭만이 아닌 무서운 균의 상징으로 바꾸는 계기가 되었습니다. 그는 소와 사람의 결핵이 유사하지 않다고 생각하여 감염된 우유를 감염원으로 인식하는 데 시간이 걸렸지만, 이는 후에 저온 살균법의 도입으로 이어졌습니다.
1890
[코흐, '투베르쿨린' 발표 (이후 진단에 활용)]
로베르트 코흐가 결핵 치료를 위해 결핵균의 글리세린 추출물인 '투베르쿨린'을 발표했습니다.
비록 치료제로서의 효과는 없었지만, 이후 증상이 없는 잠복 결핵을 진단하는 데 유용하게 활용되었습니다.
투베르쿨린은 결핵 진단의 중요한 도구로 자리매김하며, 질병의 조기 발견과 확산 방지에 기여했습니다.
1904
[세계 최초의 크리스마스 실, 덴마크에서 탄생]
결핵 프로그램 모금을 위한 '크리스마스 실' 캠페인이 덴마크에서 세계 최초로 시작되었습니다.
이 자선 활동은 결핵 퇴치 기금 마련의 상징이 되어 전 세계로 확산됩니다.
이 캠페인은 1907년부터 1908년 사이 미국과 캐나다의 폐협회로도 확장되어, 결핵 퇴치 운동에 필요한 재원을 마련하는 데 큰 역할을 했습니다.
1906
[세계 최초의 결핵 백신 'BCG' 개발]
프랑스의 앨버트 칼메트와 카미유 게랭이 약화된 소의 결핵균으로 세계 최초의 결핵 백신인 'BCG'(Bacillus Calmette-Guérin)를 개발했습니다.
이는 결핵 예방의 새로운 지평을 열었습니다.
BCG 백신은 이후 전 세계적으로 가장 널리 사용되는 백신 중 하나가 되며, 특히 어린이들의 심각한 결핵 발병 형태를 예방하는 데 탁월한 효과를 보였습니다.
1921
[BCG 백신, 세계 최초로 인체 접종 성공]
개발된 BCG 백신이 프랑스에서 세계 최초로 인체에 접종되었습니다.
이는 결핵 예방의 실질적인 시작을 의미하며, 전 세계 보건 역사에 중요한 이정표가 되었습니다.
초기에는 제조 과정의 결함으로 인한 비극적인 사건들로 대중의 저항을 받기도 했지만, 제2차 세계대전 이후 대량 접종이 가능해지면서 전 세계적인 결핵 예방 프로그램의 핵심이 되었습니다.
1927
[조선 최초의 결핵 요양원 '해주구세요양원' 건립]
미국인 선교사이자 의사인 셔우드 홀이 황해도 해주에 조선 최초의 결핵 요양원인 '해주구세요양원'을 건립했습니다.
이는 조선의 결핵 환자들에게 전문적인 치료를 제공하는 첫 시도였습니다.
이 요양원은 당시 열악했던 조선의 의료 환경에서 결핵 환자들에게 한 줄기 빛이 되었으며, 이후 조선 내 결핵 퇴치 운동의 중요한 거점이 되었습니다.
1932
[조선 최초의 크리스마스 실 판매 시작]
겨울, 조선 최초로 '크리스마스 실'이 판매되기 시작했습니다.
이 실의 판매 수익금은 조선 내 결핵 퇴치 운동과 환자 지원에 사용되며, 국민들의 참여를 이끌어내는 중요한 계기가 되었습니다.
크리스마스 실은 결핵의 심각성을 알리고, 민간 차원에서 결핵 퇴치에 기여하는 상징적인 캠페인으로 자리 잡았습니다. 이는 덴마크에서 시작된 세계적인 운동의 일환으로 조선에도 도입된 것입니다.
1936
[조선총독부, 결핵 예방 법령 및 협회 설치 계획]
조선총독부 경무국 위생과에서 조선의 결핵예방법령을 실시하고 결핵예방협회를 설치하여 전조선적인 폐결핵 예방 운동을 계획했습니다.
이는 식민 당국 차원의 대규모 결핵 대책의 시작을 알렸습니다.
당시 조선 내 결핵 환자가 45만 명에 달할 정도로 심각했기 때문에, 범국가적인 차원의 대책 마련이 시급했습니다. 이는 결핵을 단순한 개인의 질병이 아닌 사회적 문제로 인식하기 시작했음을 보여줍니다.
[조선 '결핵예방주간' 대대적 캠페인 실시]
조선총독부의 계획에 따라 '결핵예방주간'이 지정되어 전국적으로 상담소 개설, 객담 검사, 강연회 등 다양한 행사가 개최되었습니다.
이는 대중에게 결핵 예방의 중요성을 알리는 대규모 캠페인이었습니다.
이러한 노력에도 불구하고 1930년대 후반에는 농촌에서도 결핵 환자가 증가하는 등 결핵 확산은 여전히 큰 문제로 남아있었습니다.
1946
[세계 최초의 항결핵제 '스트렙토마이신' 개발]
세계 최초의 유효한 항생제 '스트렙토마이신'이 개발되었습니다.
이 획기적인 발견은 난치병이던 결핵을 치료 가능한 질병으로 바꾸며 인류의 승리에 기여했습니다.
이전까지 요양원과 수술이 주요 치료법이었던 결핵은 스트렙토마이신 개발 이후 약물 치료 시대에 접어들었습니다. 이는 결핵과의 싸움에서 결정적인 전환점이 되었습니다.
1950
[항결핵제 개발 붐, 결핵 치료의 새 시대 열리다]
다양한 항결핵제가 개발되면서 결핵 치료에 혁명이 일어났습니다.
여러 약제를 조합하는 다제 요법이 도입되어 약제 내성을 줄이고 완치율을 높이는 데 기여했습니다.
1950년대 이전까지는 영양, 안정, 맑은 공기, 햇볕 쬐기 등이 치료법의 전부였고, 수술도 감염 부위 폐쇄에 불과했습니다. 하지만 항결핵제 개발로 결핵은 난치병에서 벗어나 치료 가능한 질병으로 변모했습니다.
1980
[공중 보건의 적, 약제 내성 결핵 등장]
항생제 남용 등으로 인해 약제 내성을 가진 결핵균 변종, 특히 다제내성 결핵(MDR-TB)이 대두하기 시작했습니다.
이는 결핵 퇴치에 새로운 위협으로 작용하며 공중 보건의 큰 문제가 됩니다.
다제내성 결핵은 기존의 효과적인 1차 약제에 듣지 않아 치료 기간이 길어지고 더 비싼 약이 필요합니다. 이후 광범위 약제내성 결핵(XDR-TB)과 같은 더욱 강력한 내성균도 출현하며 인류의 노력을 시험하고 있습니다.
[뉴욕시 결핵 재확산: HIV와 공중 보건 부재의 그림자]
미국 뉴욕시에서 공중 보건 시설의 축소와 HIV/AIDS의 등장으로 결핵이 다시 급증하는 사태가 발생했습니다.
이는 선진국에서도 결핵이 재활성화될 수 있음을 보여주는 경고였습니다.
수많은 다제내성 결핵 환자가 발생하며 뉴욕시는 큰 어려움을 겪었고, 이는 전 세계에 결핵 퇴치 노력의 중요성을 다시 한번 상기시키는 계기가 되었습니다.
1993
[WHO, 결핵을 '전 세계 보건 비상사태'로 선포]
약제 내성 결핵의 등장과 HIV 감염 증가로 인한 결핵 재확산에 대응하여, 세계 보건 기구(WHO)는 결핵을 '전 세계적인 보건 비상사태'로 선포했습니다.
이는 전 세계적인 협력의 필요성을 강조했습니다.
이 선포는 결핵 퇴치를 위한 국제적인 노력을 촉진하는 계기가 되었으며, 각국의 보건 정책에 중요한 영향을 미쳤습니다.
2006
[WHO 'Stop TB Partnership' 사업 시작]
세계 보건 기구(WHO)의 'Stop TB Partnership' 사업이 시작되어 2015년까지 1,400만 명의 생명을 구하는 것을 목표로 했습니다.
이는 결핵 퇴치를 위한 국제 사회의 대규모 공동 노력이었습니다.
이 사업은 전 세계적인 결핵 퇴치 노력을 결집하고, 고위험군 국가들을 중심으로 진단, 치료, 예방 활동을 강화하는 데 주력했습니다. 사람만이 결핵균을 보균하므로, 효과적인 백신이 개발된다면 박멸이 가능할 것이라는 희망을 가지고 진행되었습니다.